Sur une dent ou pour tout votre sourire, il est aujourd'hui possible d'influencer la teinte de l'émail qui recouvre toutes vos dents naturelles.
Les résultats


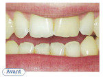
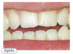
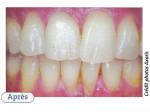
L'expertise des chirurgiiens-dentistes en matière de blanchiment permet de traiter la quasi-totalité des cas de figure avec un résultat tel que montré sur les photos ci-contre.
Les techniques


Il existe de nombreux procédés pour influencer la teinte de votre émail, votre chirurgien-dentiste saura faire le bon diagnostic et vous proposer le procédé adapté à votre cas personnel:au cabinet ou chez vous, suivant la spécificité de votre bouche.
Les précautions
Seul votre chirurgien-dentiste peut assurer le blanchiment dans des conditions de sécurité professionnelles, impératives pour votre santé, votre confort et votre esthétique.
Indépendentaire Editeur - Tous droits réservés